
¡Tu dentista de confianza en Bilbao!
Ponte en contacto con nosotros y solicita tu primera cita
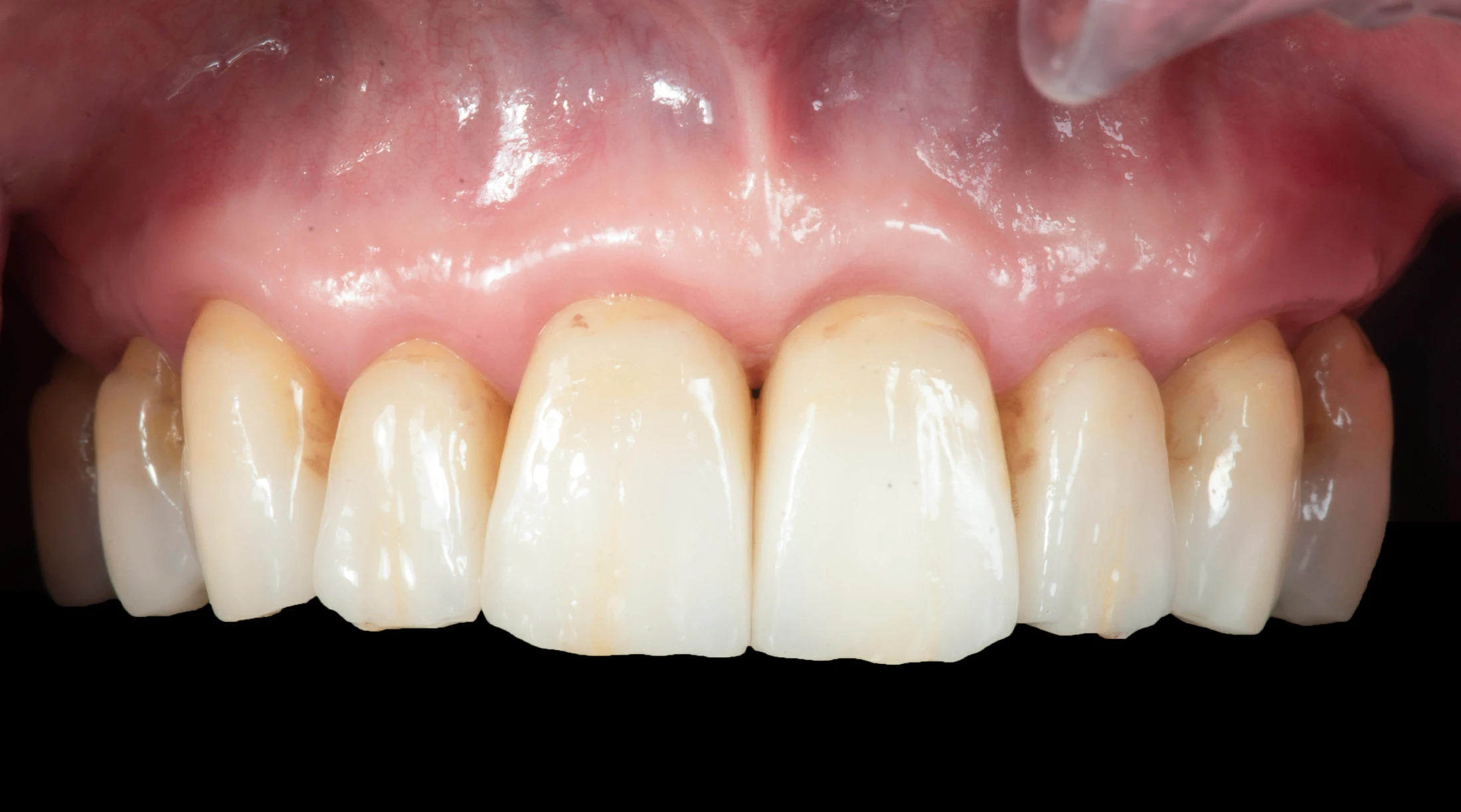
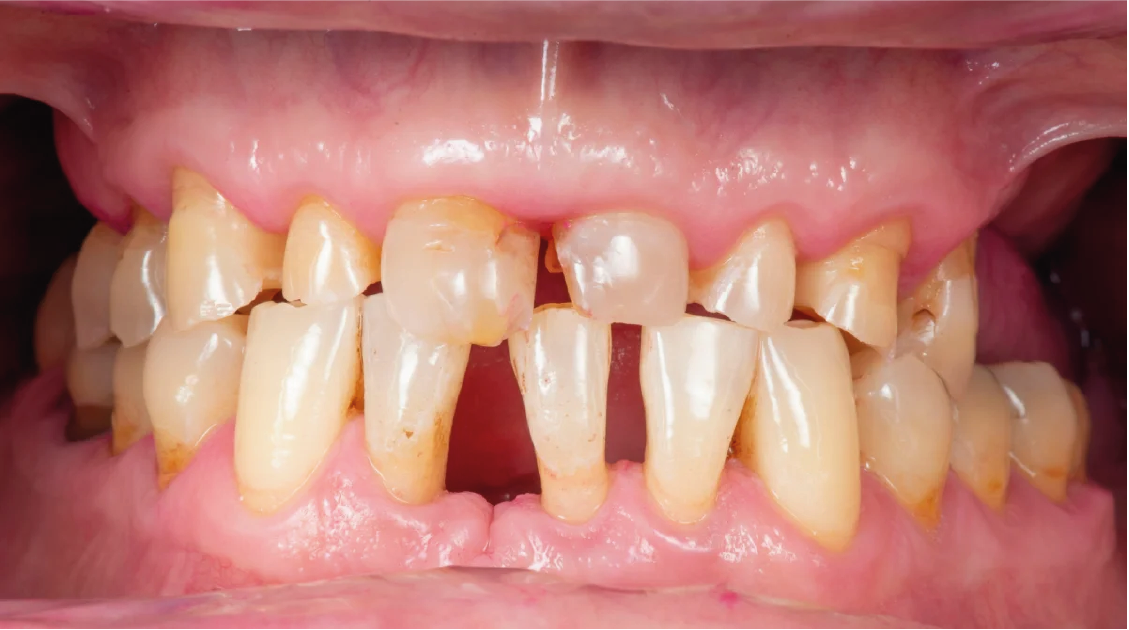
Caso clínico
Rehabilitación oral completa
Restauración completa de función y estética con coronas, puentes cerámicos y control del bruxismo.
Nombre
Marco
Edad
48 años


Nombre
Marco
Edad
48 años
Empleo
Construcción
Doctor
Alfonso Gil
Duración
4 meses
Visitas a clínica
4
Dolor
Inexistente
Dolor
Inexistente
Presupuesto
Satisfacción
Alta

Caso antes y después intraoral

Caso antes y después extraoral
Recuperando así función y masticación y eliminación de bruxismo (férula de noche).

Ponte en contacto con nosotros y solicita tu primera cita